定义
髌骨即膝盖骨,在膝关节正常屈伸时,髌骨位于滑车沟内。当髌骨从滑车沟内脱出时即为髌骨脱位。
其为狗狗最常见的骨科先天性畸形之一,少见于猫。
发病特征
任何年龄、品种和性别的狗狗均可能发生髌骨脱位。髌骨脱位可分为内侧脱位及外侧脱位。
临床上以内侧脱位多见,其中小型犬或玩具型犬(如贵宾、约克夏、吉娃娃、博美等犬种)常发生。
大型犬外侧脱位的比例较小型犬更高。可能单侧脱位也可能双侧同时脱位。
病因
可分为先天性原因及后天性(外伤性)原因。外伤导致的脱位所占比例较小,大多数髌骨脱位与先天性骨骼肌肉异常有关,如股骨滑车沟畸形、股骨远端与胫骨近端排列不良、胫骨近端旋转等。
分级与症状
髌骨脱位根据严重程度可分为4级(下图)。
临床症状差异很大,与疾病的严重程度相关。
一级脱位没有跛行,常为检查时偶尔发现;
二级脱位可见跑动时偶然跛行,跳跃式行走;
三级脱位可出现明显的跛行;
四级脱位由于骨骼进一步变形,患肢不愿负重,呈蜷缩姿势行走。
所以当开始发现狗狗间歇跛行时就应该警惕髌骨脱位,最好带到专业的宠物医院进行检查,以免病情恶化。
诊断
髌骨脱位可通过体格检查及X光片进行诊断。体格检查指触诊髌骨位于滑车沟外或可将髌骨推出滑车沟进行诊断。
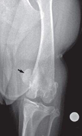
X光片正位可见髌骨位于股骨的内侧或外侧而不在滑车沟内,同时可见滑车沟变浅、胫骨近端转位和股胫关节角度异常(下图)。

X光片侧位上可见髌骨不在滑车沟内而是与股骨髁重叠(下图)。
X光片轴位可见髌骨不在滑车沟内(下图)。
治疗
髌骨脱位的治疗包括保守治疗及手术治疗。
一般认为髌骨脱位不引起任何临床症状时,应监测,通常不进行手术。脱位在2级及以上则需要手术治疗。
当髌骨脱位处于2级以下没有临床症状时,我们可以采取内科治疗及物理恢复的方法,即补充关节软骨素及葡萄醣胺、进行水疗等。
对髌骨脱位处于2级以上的狗狗通常建议手术治疗,因为反复发作的髌骨脱位会磨损髌骨的关节软骨导致狗狗疼痛。
手术主要包括滑车沟加深、内侧关节囊释放、胫骨粗隆移位、外侧加固等手术方法。
建议有症状的爱宠,请尽早到医院做相关排查,以免错过了最佳的治疗时间。
检查髌骨的爱宠在八月及九月来渝北名望旗舰院或李子坝名望医院拍摄DR可享受八五折优惠。
名望全国热线电话:400-16-05120
名望宠物医院